Форум общения  больных людей. Неизлечимых  болезней  нет!


Вернуться   Форум общения больных людей. Неизлечимых болезней нет! > Основной форум для выздоравливающих > Помощь

Ответ
 
Опции темы Опции просмотра
Старый 19.04.2018, 10:24   #1
Валентин555
Местный
 
Регистрация: 18.04.2018
Адрес: Сибирь.
Сообщений: 267
Спасибо: 73
Спасибо 30 в 28 постах
Репутация: 10
По умолчанию

Что и требовалось доказать. Раковые больные не хотят лечиться. Хотят лежать овощем, стонать и жалеть себя, передвигаясь потихоньку в гроб. Наверное в этом есть вселенская истина... Ограниченное мышление и энергетика, неверие ни в себя ни в помощь...
Валентин555 вне форума   Ответить с цитированием
Старый 14.06.2018, 02:58   #2
Валентин555
Местный
 
Регистрация: 18.04.2018
Адрес: Сибирь.
Сообщений: 267
Спасибо: 73
Спасибо 30 в 28 постах
Репутация: 10
По умолчанию

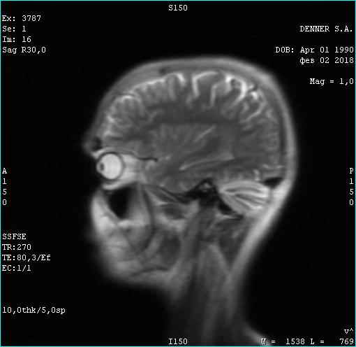
Фома неверующий. Вот этого парня я сейчас лечу. Опухоль за 3 месяца лечения уже не активна. Частично пошло ее разложение. Тремор сердца исчез. Походка восстановилась. В августе скину новое мрт с результатом лечения. Динамика на снимке. Ядро опухоли гибнет за 3 месяца. Господа!!!! За 3 месяца!
Изображения
Тип файла: jpeg 02.02.2018.jpeg (22.5 Кб, 704 просмотров)
Валентин555 вне форума   Ответить с цитированием
Старый 14.06.2018, 03:00   #3
Валентин555
Местный
 
Регистрация: 18.04.2018
Адрес: Сибирь.
Сообщений: 267
Спасибо: 73
Спасибо 30 в 28 постах
Репутация: 10
По умолчанию

Вверху февраль 2018. Внизу май 2018
Изображения
Тип файла: jpg 08.05.2018 г.jpg (24.0 Кб, 693 просмотров)
Валентин555 вне форума   Ответить с цитированием
Старый 14.06.2018, 03:15   #4
Валентин555
Местный
 
Регистрация: 18.04.2018
Адрес: Сибирь.
Сообщений: 267
Спасибо: 73
Спасибо 30 в 28 постах
Репутация: 10
По умолчанию

Эти ответы адресованы Денису Марочкину, создателю этой темы, который написал мне - дословно -"Не лгите, Опухоль мозга не лечится, так как не операбельна". Денис! Зачем ее оперировать???? Твое неверие тебя погубит. Эх, Денис Денис...

Добавлено через 3 минуты
Опухоль контраст не накапливает. Связи с костью уже не имеет. Головка опухоли начала разлагаться. Врачи в шоке. А я злорадствую. Сергей мне поверил и сейчас копает огород на Алтае, хотя должен был умереть в июле. Моя карма получила жирный плюс...

Добавлено через 4 минуты
Самое сложное в лечении - восстановление пораженных участков и "изъятие" опухоли из головы. А вот убить опухоль - легко.... Очень легко...

Добавлено через 3 минуты
Фото мрт сделаны немного в разных ракурсах, (зачем, непонятно-наверное чтобы не признавать эффект оздоровления ), но положительная динамика все равно видна. И пациент начал жить полноценной жизнью - секс, загар, копание огородов и рыбалка...
Валентин555 вне форума   Ответить с цитированием
Старый 14.06.2018, 07:30   #5
Валентин555
Местный
 
Регистрация: 18.04.2018
Адрес: Сибирь.
Сообщений: 267
Спасибо: 73
Спасибо 30 в 28 постах
Репутация: 10
По умолчанию

igorgold555@mail.ru мой новый емайл
Валентин555 вне форума   Ответить с цитированием
Старый 14.06.2018, 12:22   #6
Анатолий Муха
Заблокирован
 
Регистрация: 29.12.2016
Сообщений: 2,253
Спасибо: 0
Спасибо 125 в 113 постах
Репутация: 9
По умолчанию

Иммунитет задается каждому на генетическом уровне при рождении. Повысить его возможно только через вакцинации, по пока только от некоторых инфекций.
Что касается раковых клеток, вируса герпеса - то они есть у всех людей, но вот при сильном иммунитете они блокируются иммунной системой, а при слабом иммунитете (да еще и при запуске старения) начинается размножение раковых клеток. Герпес проявляется еще в молодости и зачастую является предвестником онкологии.
Не верьте шарлатанам: иммунитет повысить ничем НЕЛЬЗЯ!

Витамины, целители и прочая дрянь БЕСПОЛЕЗНЫ.

Медицина с трудом лечит ОРЗ...

А вот вирусы гриппа, вирус ВИЧ блокируются сильным иммунитетом и люди заражаясь не заболевают! Доказано, что около 30 процентов Русов имеют такой высокий иммунитет (русские, украинцы и белорусы - это генетически единый этнос в основном с гаплотипом ДНК R a1)
Анатолий Муха вне форума   Ответить с цитированием
Сказал(а) cпасибо
Валентин555 (15.06.2018)
Старый 15.06.2018, 08:21   #7
Валентин555
Местный
 
Регистрация: 18.04.2018
Адрес: Сибирь.
Сообщений: 267
Спасибо: 73
Спасибо 30 в 28 постах
Репутация: 10
По умолчанию

Сбой иммунитета может произойти в любой момент. Даже у такого русса как я. С рязанскими корнями и фамилией Никульшин. Иммунитет тоже человек. Но если организм чист, никакой сбой иммунитета не приведет к болезни. Нечему болеть. Человек прошел миллионы лет эволюции и он болеть не должен. Ибо по образу и подобию... Но от комаров, клещей, кандид, токсоплазмоза, трихомоноза, грибков увы-спасения нет. Они тоже эволюционировали за миллиард лет. Они и есть хозяева планеты Земля. И чтобы выжить, мы должны беспощадно с ними бороться, отвоевывая место под Солнцем. Руссы ранее не болели, так как блюли чистоту рода. И они были совершенны. И им не надо было ни с кем бороться. Поэтому умирали те, кто брал в жены шлюх... Но сегодня. Реалии мира таковы, что бороться за чистоту расы на планете, где все перетрахались - невозможно.
Валентин555 вне форума   Ответить с цитированием
Старый 21.08.2018, 09:35   #8
Валентин555
Местный
 
Регистрация: 18.04.2018
Адрес: Сибирь.
Сообщений: 267
Спасибо: 73
Спасибо 30 в 28 постах
Репутация: 10
По умолчанию

Цитата:
Сообщение от Валентин555 Посмотреть сообщение
Вверху февраль 2018. Внизу май 2018
Вверху май. Внизу август. Ничего не замечаете?
Изображения
Тип файла: jpg 08.05.2018 г.jpg (24.0 Кб, 674 просмотров)
Тип файла: jpeg 03.08.2018.jpeg (25.1 Кб, 665 просмотров)
Валентин555 вне форума   Ответить с цитированием
Старый 14.03.2019, 04:10   #9
Валентин555
Местный
 
Регистрация: 18.04.2018
Адрес: Сибирь.
Сообщений: 267
Спасибо: 73
Спасибо 30 в 28 постах
Репутация: 10
По умолчанию

[QUOTE=Валентин555;421750] Это конечный файл мрт. На нем видно, что основная опухоль убита полностью. Посмотрите на второй странице темы предыдущие мрт. К сожалению первое лечение было слабое и какой -то светлячок похож на новый очаг. Сейчас парень пролечится более агрессивно и на этом все закончится. Состояние у него отличное. Водит машину и радуется жизни. Но вот что интересно - опухоль в мозгу не разлагается. Или разлагается очень медленно. Поэтому лечить мозг проще. Готов помочь желающим.
Изображения
Тип файла: jpg февраль 2019.jpg (53.0 Кб, 382 просмотров)
Валентин555 вне форума   Ответить с цитированием
Старый 14.03.2019, 04:16   #10
Валентин555
Местный
 
Регистрация: 18.04.2018
Адрес: Сибирь.
Сообщений: 267
Спасибо: 73
Спасибо 30 в 28 постах
Репутация: 10
По умолчанию

Напоминаю. Пролечил экспериментально глиому головного мозга. Удалось убить основную опухоль за 2 месяца. Год наблюдал за больным. Сейчас опухоль полностью убита и расслаивается постепенно. Есть новый светлый очаг, который убью уже за 40 дней, так как за этот год я усовершенствовал курс лечения. Теперь за 40 дней я убиваю нейродерматоз, простатит, гепатит С и рак 1.2.3 стадий... Спид пока не пробовал, но это реально. Пациента нет. Только поэтому.
Валентин555 вне форума   Ответить с цитированием
Ответ

Социальные закладки


Ваши права в разделе
Вы не можете создавать новые темы
Вы не можете отвечать в темах
Вы не можете прикреплять вложения
Вы не можете редактировать свои сообщения

BB коды Вкл.
Смайлы Вкл.
[IMG] код Вкл.
HTML код Выкл.

Быстрый переход


Текущее время: 14:58. Часовой пояс GMT.


Powered by vBulletin® Version 3.8.6
Copyright ©2000 - 2011, Jelsoft Enterprises Ltd. Перевод: zCarot
Форум общения и взаимопомощи больных людей. Советы для выздоровления.